Trường hợp bệnh nhân Đ.H.T (35 tuổi, nữ, ở Yên Bái) đi khám do bị đau vùng cổ vai gáy nhiều. Bệnh nhân cho biết, khoảng 1 tháng nay, chị đau vùng cổ chân, bắp chân, đau tăng khi thay đổi tư thế. Nữ bệnh nhân miêu tả cơn đau cột sống cổ lan xuống bả vai, đau cột sống thắt lưng lan xuống hông phải, đau âm ỉ, liên tục. Khai thác kỹ càng tiền sử, chị cho biết cách đây 1 năm có tiết máu tuyến vú.
Kết quả thăm khám cột sống cổ và thắt lưng ấn không có điểm đau nhói, khám hai bên vú có khối cứng di động kém, tiết dịch mủ và máu.
ThS.BSNT Trịnh Thị Nga, chuyên khoa Cơ xương khớp, Bệnh viện Medlatec, người khám trực tiếp cho bệnh nhân nghi ngờ bệnh nhân có khối u ác tính tại tuyến vú. Bác sĩ đã hội chẩn với bác sĩ chuyên khoa Sản chỉ định thêm các xét nghiệm thăm dò chuyên sâu về tuyến vú. Kết quả chẩn đoán hình ảnh phát hiện các đám tổn thương tuyến vú hai bên, phân độ ác tính. Các xét nghiệm có nghi ngờ carcinoma (ung thư biểu mô) trong dịch tiết vú trái và có các tế bào không điển hình trong dịch tiết tuyến vú phải.
Bệnh nhân đã được tư vấn sinh thiết tuyến vú hai bên và chọc xét nghiệm tế bào hạch nách trái, kết quả giải phẫu bệnh cho thấy hình ảnh ung thư tuyến vú trái - hạch di căn vùng nách trái và quá sản tuyến vú phải.
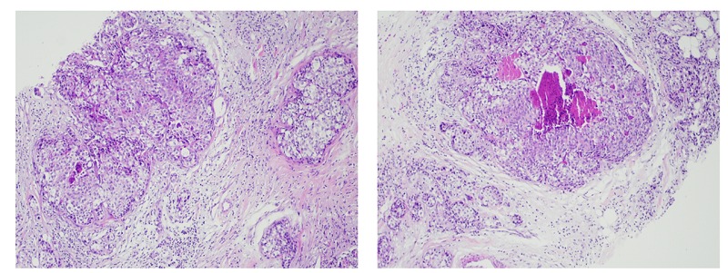
Sinh thiết tuyến vú trái kết luận Carcinoma (ung thư biểu mô) thể ống xâm nhập, type không đặc biệt, độ II (Ảnh: BSCC)
Kết quả chụp cắt lớp vi tính (CT-scanner) toàn thân đánh giá giai đoạn bệnh cho thấy ngoài các đám tổn thương tuyến vú, còn nhiều ổ tiêu xương của đốt sống cổ - ngực - thắt lưng, các nốt tổn thương rải rác trong gan và phổi. Bệnh nhân được chẩn đoán ung thư vú có tổn thương di căn của gan, phổi và cột sống và được chuyển Bệnh viện K điều trị theo phác đồ.
Bệnh nhân T tâm sự: "Khi cầm kết quả trên tay, trời đất như sụp đổ. Ở nhà tôi nghĩ chỉ bị bệnh xương khớp, nào ngờ khám ra ung thư di căn. Giá như tôi không chủ quan, không chần chừ đi kiểm tra sức khỏe từ một năm trước thì có lẽ đã không để bệnh nặng như thế này."
Có dịch tiết tuyến vú cần đi khám ngay
PGS.TS.BS Nguyễn Quốc Dũng, Phó Chủ tịch hội Điện quang và Y học hạt nhân Việt Nam cho hay, phụ nữ trong độ tuổi sinh đẻ nếu thấy có tiết máu, tiết dịch ở vú bất thường thì 80-90% nghĩ đến bệnh lý tuyến vú. Trường hợp bệnh nhân Đ.H.T, mặc dù xuất hiện dấu hiệu bất thường này 1 năm trước, nhưng chủ quan đến khi đi khám thì ung thư đã ở giai đoạn cuối và di căn.
Theo thống kê, mỗi năm cả nước có khoảng hơn 165.000 ca mắc ung thư mới, trong đó có khoảng 15.229 ca ung thư vú (chiếm 20,6% tổng số các loại bệnh ung thư ở phụ nữ). Điều đáng lo lắng là những năm trở lại đây độ tuổi mắc ung thư vú ở nước ta ngày càng trẻ hóa và hay gặp hàng đầu ở nữ giới.
Tuy nhiên, do sự chủ quan, ngại đi khám nên đa số chị em đi khám khi có dấu hiệu bất thường (như khối u/ cục trong vú, đau vú, thay đổi kích thước, màu sắc, tiết dịch...), lúc này đi khám thì đại đa số bệnh đã trở nặng và gây tốn kém chi phí điều trị, rút ngắn tuổi thọ của người bệnh.
Chuyên gia khuyến cáo chị em nên tầm soát định kỳ hàng năm. Đặc biệt là những người có yếu tố nguy cơ cao như: tuổi tác (tuổi sau 50), di truyền, tiền sử bản thân hoặc gia đình có người mắc ung thư vú, sử dụng hormone nữ giới, thói quen uống bia rượu, thừa cân/béo phì, hoặc tiếp xúc với các chất gây ung thư...
Link bài gốc: 'Tôi nghĩ chỉ bị bệnh xương khớp, nào ngờ khám ra ung thư di căn'
Kết quả thăm khám cột sống cổ và thắt lưng ấn không có điểm đau nhói, khám hai bên vú có khối cứng di động kém, tiết dịch mủ và máu.
ThS.BSNT Trịnh Thị Nga, chuyên khoa Cơ xương khớp, Bệnh viện Medlatec, người khám trực tiếp cho bệnh nhân nghi ngờ bệnh nhân có khối u ác tính tại tuyến vú. Bác sĩ đã hội chẩn với bác sĩ chuyên khoa Sản chỉ định thêm các xét nghiệm thăm dò chuyên sâu về tuyến vú. Kết quả chẩn đoán hình ảnh phát hiện các đám tổn thương tuyến vú hai bên, phân độ ác tính. Các xét nghiệm có nghi ngờ carcinoma (ung thư biểu mô) trong dịch tiết vú trái và có các tế bào không điển hình trong dịch tiết tuyến vú phải.
Bệnh nhân đã được tư vấn sinh thiết tuyến vú hai bên và chọc xét nghiệm tế bào hạch nách trái, kết quả giải phẫu bệnh cho thấy hình ảnh ung thư tuyến vú trái - hạch di căn vùng nách trái và quá sản tuyến vú phải.
Sinh thiết tuyến vú trái kết luận Carcinoma (ung thư biểu mô) thể ống xâm nhập, type không đặc biệt, độ II (Ảnh: BSCC)
Kết quả chụp cắt lớp vi tính (CT-scanner) toàn thân đánh giá giai đoạn bệnh cho thấy ngoài các đám tổn thương tuyến vú, còn nhiều ổ tiêu xương của đốt sống cổ - ngực - thắt lưng, các nốt tổn thương rải rác trong gan và phổi. Bệnh nhân được chẩn đoán ung thư vú có tổn thương di căn của gan, phổi và cột sống và được chuyển Bệnh viện K điều trị theo phác đồ.
Bệnh nhân T tâm sự: "Khi cầm kết quả trên tay, trời đất như sụp đổ. Ở nhà tôi nghĩ chỉ bị bệnh xương khớp, nào ngờ khám ra ung thư di căn. Giá như tôi không chủ quan, không chần chừ đi kiểm tra sức khỏe từ một năm trước thì có lẽ đã không để bệnh nặng như thế này."
Có dịch tiết tuyến vú cần đi khám ngay
PGS.TS.BS Nguyễn Quốc Dũng, Phó Chủ tịch hội Điện quang và Y học hạt nhân Việt Nam cho hay, phụ nữ trong độ tuổi sinh đẻ nếu thấy có tiết máu, tiết dịch ở vú bất thường thì 80-90% nghĩ đến bệnh lý tuyến vú. Trường hợp bệnh nhân Đ.H.T, mặc dù xuất hiện dấu hiệu bất thường này 1 năm trước, nhưng chủ quan đến khi đi khám thì ung thư đã ở giai đoạn cuối và di căn.
Theo thống kê, mỗi năm cả nước có khoảng hơn 165.000 ca mắc ung thư mới, trong đó có khoảng 15.229 ca ung thư vú (chiếm 20,6% tổng số các loại bệnh ung thư ở phụ nữ). Điều đáng lo lắng là những năm trở lại đây độ tuổi mắc ung thư vú ở nước ta ngày càng trẻ hóa và hay gặp hàng đầu ở nữ giới.
Tuy nhiên, do sự chủ quan, ngại đi khám nên đa số chị em đi khám khi có dấu hiệu bất thường (như khối u/ cục trong vú, đau vú, thay đổi kích thước, màu sắc, tiết dịch...), lúc này đi khám thì đại đa số bệnh đã trở nặng và gây tốn kém chi phí điều trị, rút ngắn tuổi thọ của người bệnh.
Chuyên gia khuyến cáo chị em nên tầm soát định kỳ hàng năm. Đặc biệt là những người có yếu tố nguy cơ cao như: tuổi tác (tuổi sau 50), di truyền, tiền sử bản thân hoặc gia đình có người mắc ung thư vú, sử dụng hormone nữ giới, thói quen uống bia rượu, thừa cân/béo phì, hoặc tiếp xúc với các chất gây ung thư...
Link bài gốc: 'Tôi nghĩ chỉ bị bệnh xương khớp, nào ngờ khám ra ung thư di căn'
Tuyên bố trách nhiệm: Bài viết được lấy nguyên văn từ nguồn tin nêu trên. Mọi thắc mắc về nội dung bài viết xin liên hệ trực tiếp với tác giả. Chúng tôi sẽ sửa, hoặc xóa bài viết nếu nhận được yêu cầu từ phía tác giả hoặc nếu bài gốc được sửa, hoặc xóa, nhưng vẫn bảo đảm nội dung được lấy nguyên văn từ bản gốc.
Bài tương tự bạn quan tâm
"Chìa khóa" giúp ngân hàng, doanh nghiệp cạnh tranh...
- Thread starter Mr LNA
- Ngày bắt đầu
Nghiên cứu 38.000 trẻ em phát hiện: Ngoại hình và...
- Thread starter Mr LNA
- Ngày bắt đầu
Từ cuối tháng 7 Âm lịch là lúc 4 con giáp này may...
- Thread starter Mr LNA
- Ngày bắt đầu
1 loại củ là “nhân sâm trắng”, người Nhật coi như...
- Thread starter Mr LNA
- Ngày bắt đầu
Dự án nghỉ dưỡng ở Đà Lạt ‘lụt’ tiến độ, 1.200 m2...
- Thread starter Mr LNA
- Ngày bắt đầu
Hoa hậu Đỗ Hà: 'Tôi muốn làm phú bà của cuộc...
- Thread starter Mr LNA
- Ngày bắt đầu

